开云·体育

Products

Amniocentesis Ultrasound Trainer

Model TYE1563
Product size(mm)635×410×230

Outline

The trainer is designed for users to develop, practice, and validate skills associated with ultrasound guided amniocentesis procedures. With superb realism and ultra-durable design, this product is a good choice for training amniocentesis skills.


Skills Gained

· Proper transducer positioning

· Ultrasound image interpretation

· Psychomotor skills for amniocentesis


Features

· Anatomy: accurate anatomical structures and landmarks like breasts, bulged belly, fetus and symphysis pubis etc.

· Durable material with realistic feel and touch

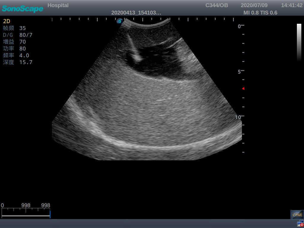
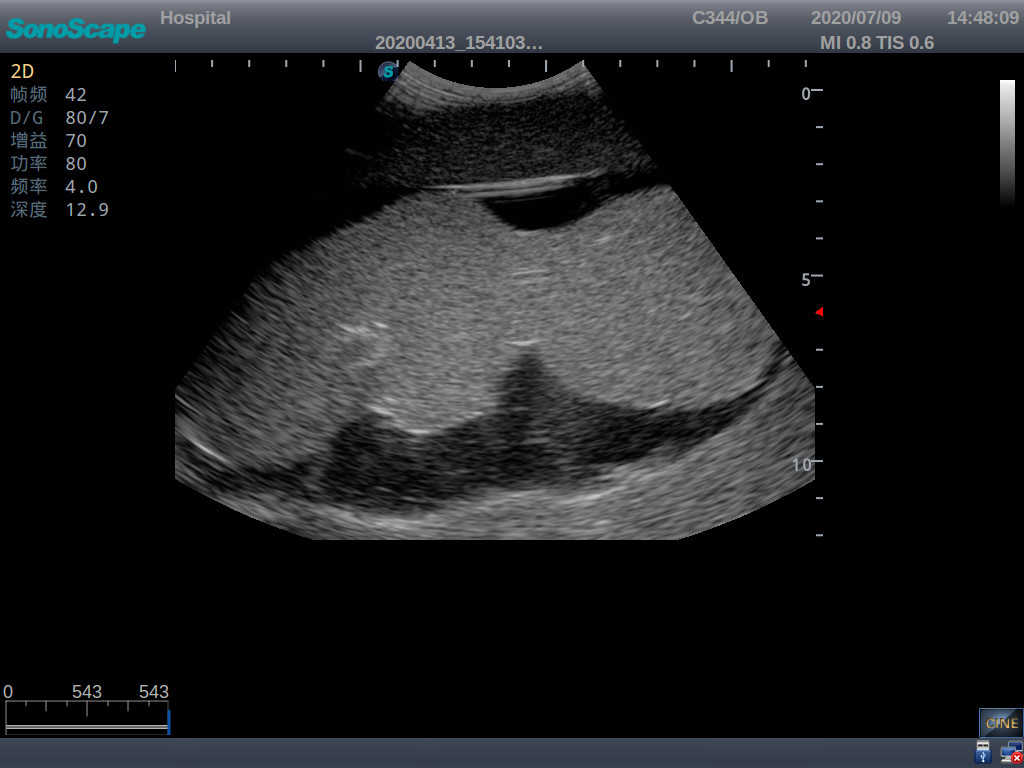
· High-quality ultrasound images for users to recognize 22-week fetus, placenta, placenta, umbilical cord and amniotic fluid

· Self-healing material for repeated punctures

· Compatible with various real ultrasound machines

· Adjustable amount of amniotic fluid to meet different training needs

· Realistic sense of breakthrough when puncturing the amnion cavity and amniotic fluid can be drawn out


Tellyes, Virtually Real

Stock code :833047

Address:2nd & 3rd Floor, West 6th Building, 18 West HaiTai Road, Tianjin, China

Postcode:300384

Phone:4006-355-510

+86-22-83711066

Fax:+86-22-83711065

Email:

Tellyes Scientific INC.  Copyright